Dental Crowns and Bridges

Why Crowns and Bridges? Before either a crown or a bridge can be made, the tooth (or teeth) must be prepared so that the crown or bridge will fit over it properly. After preparing the tooth/teeth, your cosmetic dentist will take an impression to provide an exact mold for the crown or bridge. If porcelain is to be used, your dentist in Phuket will determine the correct shade for the crown or bridge to match the color of your existing teeth.

dental crown bridges

Using the taken impression, the dental lab makes your crown or bridge, in the material specifed. A temporary crown or bridge will be put in place to cover the prepared tooth while the permanent crown or bridge is being made. When the permanent crown or bridge is ready, the temporary crown or bridge is removed, and the new crown or bridge is cemented over your prepared tooth or teeth.

crown procedure

Dental Crowns and Bridges can:

  • Replace a large fillings with insufficent teeth structure remaining
  • Protect a weak tooth from fracturing
  • Restore a fractured tooth
  • Cover a dental implant
  • Cover a discolored or poorly shaped tooth
  • Cover a tooth that has had root canal treatment

Dental Crown

Ceramic Crowns

Dental Crowns and Bridges. Both dental crowns and most dental bridges are fixed prosthetic devices. Unlike removable devices such as dentures, which you can take out and clean daily, Dental Crowns and Bridges are cemented onto existing teeth or implants, and can only be removed by a dentist mkaing it easier in terms of use and maintenance.

A crown is used to entirely cover or “cap” a damaged tooth. Besides strengthening a damaged tooth, a crown can be used to improve its appearance, shape or alignment. A crown can also be placed on top of an implant to provide a tooth-like shape and structure for function.

Dental Bridges

bridge and crowns

A dental bridge is used to replacing missing gaps between at least 2 healthy teeth to the missing gaps. A dental bridge is built with a false tooth in the middle supported by crowned anchor side teeth in covering the missing gap.

Types Crowns and Bridges

Dental Crowns and dental bridges materials may be made from :

  • Porcelain or all ceramics to matched to the color of your natural teeth
  • Porcelain fused to metal alloys (PFM) that in general provides good strength and adaptability. Porcelain bonded to a metal shell is often used
  • All metal such as all gold or another alloy.
  • Metals used in crowns include gold alloy, other alloys (for example, palladium), or a base-metal alloy (for example, nickel or chromium). Compared with other crown types, less tooth structure needs to be removed with metal crowns, and tooth wear to opposing teeth is kept to a minimum.Metal crowns withstand biting and chewing forces well and probably last the longest in terms of wear down. Also, metal crowns rarely chip or break. The metallic color is the main drawback. Metal crowns are a good choice for out-of-sight molars.
  • Porcelain-fused-to-metal dental crowns can be color matched to your adjacent teeth (unlike the metallic crowns). However, more wearing to the opposing teeth occurs with this crown type compared with metal or resin crowns. The crown’s porcelain portion can also chip or break off. Next to all-ceramic crowns, porcelain-fused-to-metal crowns look most like normal teeth. However, sometimes the metal underlying the crown’s porcelain can show through as a dark line, especially at the gum line and even more so if your gums recede. These crowns can be a good choice for front or back teeth.
  • All-ceramic or all-porcelain dental crowns provide better natural color match than any other crown type and may be more suitable for people with metal allergies. However, they are not as strong as porcelain-fused-to-metal crowns and they wear down opposing teeth a little more than metal. All-ceramic crowns are a good choice for front teeth.

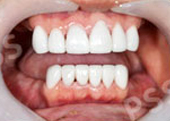
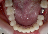
Case from Phuket Dental Crowns & Bridge

teeth crowns bridges
crown bridges
teeth bridges
tooth crown

Why Phuket Smile Signature Dental Clinic for Crowns & Bridges?

  • Smile Signature dental group has a dedicated laboratory for its dental crowns and bridges work enabling faster delivery of teeth works and treatment timings
  • Dentists at Smile Signature Dental Clinic are assigned privileges to perform work in their areas of expertise(s) based on their qualifications, skill set and experience
  • Smile Signature dental clinic is an affilate member of Amercian Dental Association (ADA) and as received awards for its customer service, value and services

Free Online Consultation

COSMETIC DENTISTRY

Case Gallery

  • Porcelain Veneers
  • Dental Crowns
  • Tooth Implants
read more
back to top